Visdomstandoperation Malmö – Trygg och skonsam käkkirurgi

Visdomstandoperation Malmö – trygg behandling hos käkkirurg Visdomstandoperation Malmö är en av de vanligaste kirurgiska behandlingarna vi utför hos Käkkirurgiskt Centrum Skåne. Visdomständer, även kallade tredje molarer, är de sista tänderna som bryter fram i tandraden, vanligtvis mellan 17 och 25 års ålder. Hos många patienter växer de utan problem, men för en stor del […]
Tandköttet och hjärnan – Hur din munhälsa kan påverka risken för stroke

Tandköttet och hjärnan – Hur din munhälsa kan påverka risken för stroke Parodontit och stroke är starkt kopplade, enligt ny forskning som visar att tandköttsinflammation kan öka risken för stroke med 22 %. Munnen är inte en isolerad del av kroppen – tvärtom. Allt fler studier visar tydligt att det finns ett starkt samband mellan munhälsa och allmän […]
Omedelbar implantatplacering efter tandextraktion – effektiv behandling med bevarad vävnad och förkortad läkningstid

Omedelbar implantatplacering efter tandextraktion – effektiv behandling med bevarad vävnad och förkortad läkningstid På Käkkirurgiskt Centrum Skåne arbetar vi med moderna och beprövade behandlingsmetoder inom tandimplantatkirurgi. En av de tekniker som blivit allt mer etablerad i både vetenskap och klinisk praxis är omedelbar implantatplacering, det vill säga att ett tandimplantat sätts in direkt efter att en tand […]
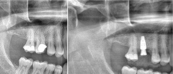
Debridement and Antibacterial Protocols in Immediate Implant Placement

Debridement and Antibacterial Protocols in Immediate Implant Placement Immediate implant placement—placing a dental implant at the time of tooth extraction—has become an increasingly popular approach in implant dentistry. It reduces overall treatment time, preserves alveolar bone structure, and can offer excellent aesthetic results. However, the key to long-term success lies not only in surgical precision, but also […]
Immediate Tooth Extraction and Implant Placement – Faster, Predictable, and Aesthetic Tooth Replacement

Varför är noggrann debridering och antibakteriell behandling avgörande vid omedelbar implantatbehandling?
Vid omedelbar implantatbehandling – där implantatet placeras direkt efter att tanden dragits ut – är det avgörande att skapa en så ren och stabil miljö som möjligt för implantatet. Speciellt vid tidigare infektion i området måste allt infekterat material avlägsnas.
???? Debridering – första steget mot ett lyckat resultat
All granulationsvävnad och infekterad vävnad måste tas bort mekaniskt från både ben och mjukvävnad. Detta minskar risken för komplikationer som periimplantit, benförlust och implantatförlust.
???? Antibakteriellt protokoll – för extra säkerhet
Efter debridering används ett flerskiktsprotokoll med olika antibakteriella lösningar (t.ex. klorhexidin, natriumhypoklorit och EDTA) för att reducera bakterienivåerna maximalt.
???? En systematisk översikt i Journal of Periodontology visar att implantat i infekterade områden kan lyckas – om infektionskontrollen är noggrann och vävnaden hanteras korrekt.
???? Vår kliniska strategi på Käkkirurgiskt Centrum Skåne
Vi använder en kombination av:
Evidensbaserade protokoll
Modern kirurgisk teknik
CBCT-diagnostik
Högkvalitativa implantat (Straumann®)
För att ge våra patienter trygga, långsiktiga resultat – även i mer komplexa fall.
???? Käkkirurgiskt Centrum Skåne
Södra Förstadsgatan 40 B, 3 tr, 211 43 Malmö
???? www.kcsskane.se
???? info@kcsskane.se
???? +46 760 033 303
#Tandimplantat #Infektionskontroll #Debridering #OmedelbarImplantatbehandling #Käkkirurgi #KCSSkåne #TandläkareMalmö #Osseointegration
Direktimplantat i överkäken – tandimplantat direkt efter utdragning

Vi erbjuder direktimplantat i överkäken med antibakteriell behandling och snabb läkning. Läs mer om hur vi på Käkkirurgiskt Centrum Skåne arbetar med avancerad implantatkirurgi i Malmö.
Tandimplantat – En säker och effektiv behandling för att ersätta förlorade tänder

Tandimplantat – En säker och effektiv behandling för att ersätta förlorade tänder Att förlora en eller flera tänder kan få både funktionella och estetiska konsekvenser. Det kan påverka tuggförmågan, talet och självförtroendet – samtidigt som det kan leda till förändringar i käkbenet och ansiktsstrukturen över tid. I dagens moderna tandvård är tandimplantat en av de mest […]
Direktimplantat – En modern lösning vid tandutdragning

Direktimplantat kan minska behandlingstiden och bevara benet efter tandutdragning. Läs mer om vår beprövade metod i Malmö med hög överlevnadsgrad.
Direkte implantatindsættelse – En moderne løsning efter tandudtrækning

Direkte implantatindsættelse forkorter behandlingstiden og bevarer kæbeknoglen. Læs hvordan vi hos Käkkirurgiskt Centrum Skåne i Malmö arbejder med moderne implantatløsninger.
Direkte implantatindsættelse ved tandudtrækning – Hurtigere og mere skånsom behandling

Direkte implantatindsættelse giver hurtigere og mere skånsom behandling efter tandudtrækning. Læs hvordan vi arbejder med sikre implantatløsninger i Malmö.
Direktimplantat vid tandutdragning – snabbare och säkrare väg till nya tänder

Direktimplantat ger kortare behandlingstid, färre ingrepp och bevarar benvolymen. Läs mer om vår erfarna implantatkirurgi i Malmö.