Rotfyllning eller tandimplantat – vad är bäst för dig?

Rotfyllning eller tandimplantat – vad är bäst för dig? När en tand är skadad eller saknas helt uppstår ofta frågan: ska man välja rotfyllning eller tandimplantat? Det är ett beslut som påverkar både funktion, ekonomi och långsiktig munhälsa. På Käkkirurgiskt Centrum Skåne i Malmö möter vi ofta patienter som vill förstå skillnaden mellan dessa två […]
Tiotandvård 2026 – Vad innebär den nya tandvårdsreformen för dig över 67 år?

Tiotandvård – så fungerar den nya tandvårdsreformen för 67-plusare Från och med den 1 juli 2026 införs ett nytt system inom svensk tandvård som kallas tiotandvård. Reformen riktar sig till alla som är 67 år och äldre och innebär att man bara behöver betala 10 procent av referenspriset för vissa behandlingar. Staten står för resterande 90 procent. Målet […]
PRF och PRP fördelarna vid tandimplantat

Direkte implantatindsættelse forkorter behandlingstiden og bevarer kæbeknoglen. Læs hvordan vi hos Käkkirurgiskt Centrum Skåne i Malmö arbejder med moderne implantatløsninger.
Tandimplantat Malmö – Vad kostar ett tandimplantat egentligen?

Direkte implantatindsættelse forkorter behandlingstiden og bevarer kæbeknoglen. Læs hvordan vi hos Käkkirurgiskt Centrum Skåne i Malmö arbejder med moderne implantatløsninger.
Tandimplantater Malmö – Derfor vælger flere patienter os og sparer op til 50 %

Direkte implantatindsættelse forkorter behandlingstiden og bevarer kæbeknoglen. Læs hvordan vi hos Käkkirurgiskt Centrum Skåne i Malmö arbejder med moderne implantatløsninger.
UV-aktivering av tandimplantat – snabbare läkning och bättre benintegration med Plasmaprep™

Vi på Käkkirurgiskt Centrum Skåne ligger i framkant med modern implantatkirurgi. Genom att använda UV-C aktivering med Plasmaprep™ förbättrar vi implantatens biologiska yta, vilket ger snabbare läkning och starkare benintegration – särskilt viktigt vid komplexa fall. Läs mer om hur tekniken fungerar och varför den är en framtidslösning för tandimplantat.
SIDEX 2025 – Internationell kunskap som förbättrar implantatvården i Malmö

Käkkirurgiskt Centrum Skåne deltog i SIDEX 2025 – en av världens ledande tandvårdskongresser i Seoul. Vi tar nu med oss ny kunskap inom implantat, digital tandvård och regenerativ behandling hem till Malmö.
Sinuslyft vad är det ? När du behöver mer ben för tandimplantat i överkäken

Sinuslyft – Bygg upp ben för tandimplantat i överkäken
Har du för lite ben för tandimplantat i överkäken? Lär dig vad ett sinuslyft innebär och hur det kan hjälpa dig att få fast sittande tänder igen.
Per-Ingvar Brånemark – Pionjären som förändrade tandvården med moderna implantat

Lär dig om Per-Ingvar Brånemark, den svenska forskaren som upptäckte osseointegration och skapade grunden för dagens tandimplantat.
Direktimplantat Malmö – Snabb, trygg lösning efter tandutdragning

Direktimplantat kan sättas direkt efter tandutdragning. Förkortad behandlingstid, bevarat ben och färre ingrepp – läs mer om denna moderna metod i Malmö.
Immediate implant placement reduces treatment time, preserves bone, and limits surgery. Learn more about this safe and proven method in Malmö, Sweden.
Risiko ved tandimplantater i Tyrkiet – billigt kan ende med alvorlige komplikationer

Många lockas av billiga tandimplantat i Turkiet, men det kan leda till allvarliga komplikationer och dyra efterbehandlingar. Lär dig riskerna – och hur du får trygg vård i Sverige hos KCSS Malmö.
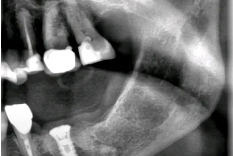
En patientberättelse: Tre direktimplantat i överkäken – trygg och modern tandvård i Malmö

En patientberättelse: Tre direktimplantat i överkäken – trygg och modern tandvård i Malmö Att förlora tänder innebär inte bara en praktisk utmaning i vardagen. För många påverkar det också självkänslan, talet, ansiktsprofilen och det sociala välbefinnandet. Samtidigt kan följderna för tuggningsfunktion och benvävnad vara långtgående. På Käkkirurgiskt Centrum Skåne träffar vi ofta patienter som söker en permanent […]
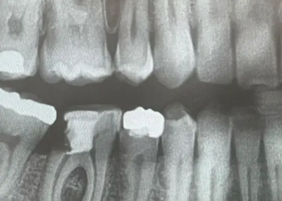
Direktimplantat – när tandimplantat placeras direkt efter tandutdragning

Direktimplantat – när tandimplantat placeras direkt efter tandutdragning Att förlora en tand påverkar inte bara funktionen när man tuggar eller talar, utan också utseendet och ofta självkänslan. Lyckligtvis finns det idag moderna behandlingsmetoder som gör det möjligt att ersätta förlorade tänder snabbt och effektivt. En av de mest avancerade metoderna inom implantatkirurgi är det som […]
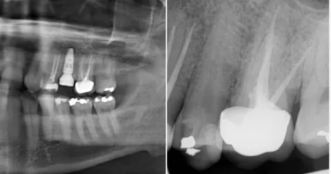
Direktimplantat efter tandutdragning – Så lyckades vi i ett svårt fall

Direktimplantat efter tandutdragning – ett kliniskt exempel på när det lönar sig att vänta Direktimplantat efter tandutdragning är en behandlingsmetod som innebär att ett tandimplantat placeras direkt i alveolen efter att en tand tagits bort. När det används korrekt kan det ge mycket goda resultat med kortare behandlingstid och färre kirurgiska ingrepp. Men som med […]
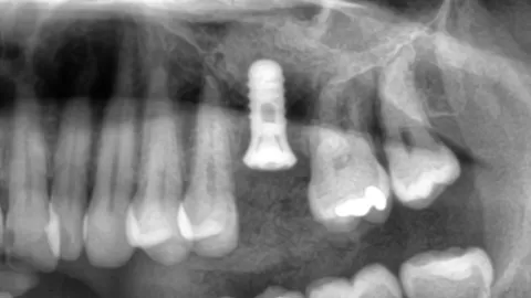
Sinuslyft och Tandimplantat – Så Återställde Vi Benvolymen för en Stabil Implantatbehandling

Läs hur vi med hjälp av sinuslyft och benmaterial kunde möjliggöra stabil implantatbehandling i överkäken trots benbrist.